



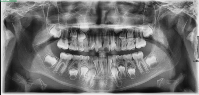
TREATMENT STARTED AT AGE : 9
- Myobrace K1 Medium
- Mixed Dentition
- Class 2 Div I
- Moderate
1st Review – 2023-03-01
- YELLOW = Initial 2022-10-29
- BLUE = 1st Review 2023-03-01

Compliance was not good in the first quarter. Not much expansion seen on buccal side
2nd Review – 2023-05-30
- YELLOW = Initial 2022-10-29
- BLUE = 2nd Review2023-05-30

Second quarter has signs of better compliance with evidences of expansion bilaterally as seen by the blue on the buccal(cheek) sides of the posterior teeth.

Leave a comment