
Straighten Your Teeth with Modern Orthodontic Care
Digital Aligners. Early Growth Guidance. Muscle-Focused Therapy. Real Functional Results.
What Makes Our Approach Different?
Traditional orthodontics focuses on moving teeth.
Our approach goes deeper — we consider jaw growth, oral muscle function, airway support, and individual biomechanics so results last longer and function improves along with appearance.versible without protective measures.
Contents
Are You a Candidate for Digital Aligners?
Digital clear aligners are transparent, computer-designed orthodontic trays that move teeth in a precise, staged sequence. They’re ideal for many adults and teens seeking:
- Mild to moderate crowding or spacing
- Improved bite function
- Aesthetics without metal braces
- Better hygiene access during treatment
But aligners only work if you wear them consistently and if the underlying functional patterns support your outcomes. Compliance with wear and follow-up care is the largest predictor of success. Wikipedia+1
Good aligner candidates usually:
- Can commit to ~22 hours daily wear
- Have healthy gums and teeth prior to orthodontics
- Understand treatment goals and follow-up plan
We start with a comprehensive digital scan and bite assessment to determine whether aligners, or a combination strategy, is the best path forward.
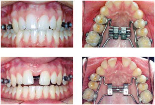
Rapid Maxillary Expansion (RME): Expanding Possibilities Early
When the upper jaw (maxilla) is too narrow, teeth don’t have room to align properly. Narrow palates can also contribute to:
- Crossbites
- Crowding
- Oral breathing
- Functional imbalance
Rapid Maxillary Expansion (RME) gently widens the upper jaw using a fixed expander, creating space for erupting teeth and improving occlusion. It is most effective in growing children and young adolescents before the mid-palatal suture fuses. No Ordinary Dentistry+1
How RME helps:
- Opens the mid-palatal suture gradually to widen the jaw
- Creates room for proper eruption and alignment
- Supports improved nasal breathing and arch harmony
This early intervention prepares a more favourable foundation for later aligner or orthodontic phases, enhancing stability and reducing the need for extractions or complex mechanics..
Tongue Thrust & Function: The Hidden Influence
Occult tongue thrust — a swallowing pattern where the tongue presses forward against the teeth — can sabotage orthodontic stability if not recognised and managed.
more on occult tongue thrust
It may be obvious when an open bite or diastema is present, but sometimes the tongue thrust is hidden by lip posture or stronger lip retraction forces, making it harder to diagnose. No Ordinary Dentistry
Why this matters:
- Persistent tongue thrust can drive relapse
- It affects anterior tooth positions
- It shifts bite forces in unfavourable directions
Clear aligners provide unique advantages in managing tongue thrust because they:
Can be combined with myofunctional therapy and habit correction for more predictable outcomes
Wear over the entire dental arch and can act as a physical cue to reduce anterior tongue pressure
Allow evaluation of functional patterns throughout treatment
Myofunctional Therapy (MFT): Fixing the Cause
Fixing the Cause, Not Just the Effect
Orthodontics aligns teeth.
Myofunctional therapy (MFT) corrects the orofacial muscle patterns that led to the orthodontic problem in the first place.
MFT focuses on:
- Correct swallow mechanics
- Nasal breathing encouragement
- Tongue posture training
- Lip closure and relaxed oral rest posture
When used in conjunction with orthodontics, MFT supports:
- Greater treatment stability
- Reduced relapse
- Enhanced airway and swallowing function
The analogy is simple: fix the dripping tap before mopping up the floor. No Ordinary Dentistry
The Complete Orthodontic Pathway We Provide
1. Comprehensive Evaluation
Digital scans, bite analysis, airway screening, functional assessment, and customised planning.
2. Tailored Strategy
A blend of aligners, early growth appliances (like RME), and MFT — based on you or your child’s growth and functional profile.
3. Digital Monitoring & Support
Scheduled check-ins, intraoral progress scans, and regular reviews to keep treatment on track.
4. Retention & Long-Term Stability
Post-treatment retainers and functional reinforcement strategies for durable results.
Who Benefits Most?
- Adults who want a discreet, efficient way to align teeth
- Teens ready for a proactive, function-first orthodontic plan
- Children with narrow palates or early bite concerns
- Patients with subtle or overt tongue thrust or functional habits
Next Steps
Book your assessment today — begin with a comprehensive exam that considers function, growth, and biomechanics, not just tooth movement.
Your smile is more than alignment — it’s function, health, and confidence, engineered to last.







You must be logged in to post a comment.