Hint : Its a trick question !
Overview
EVERYONE BRUXES!!
Bruxism is to stress what snoring is to fatigue
Dr Michael C C Ho
The parallels of bruxism to snoring are very tight. Just as everyone snores, every bruxes.
What you really think that you don’t snore ? … think again. We all snore. Some very lightly while others can rattle the windows in their sleep – the latter was me (but that’s for a different blog)!!. Snoring is affected by physical fatigue and can be exacerbated by alcohol or some medication. So even if you do not normally snore, when sufficiently tired or inebriated you will. Of course if you do normally snore the same factors will make your snoring worse.


Analogously we all brux. Bruxism is affected by stress. Stress increases the severity of bruxism from whatever your baseline level is. It is common that patients present with broken teeth or dental restoration as a result of having gone through or in the midst of a going through a challenging period in their life.
The chronic effects of bruxism is cumulative and irreversible when it comes to the tooth attrition – which is the wearing or breakdown of your teeth. Severe bruxes have evidences earlier in life. Some will have even worn down their baby teeth. This usually carries through to adulthood. In my practice I have come to the conclusion that everyone bruxes and the sooner I am able to make my patients aware of their “night time gnashing”, the sooner they can take steps towards prevention.

The most common positive feedback I have from my patients is that being aware of bruxism is a significant factor in the control of this universal dental issue. Restoring broken down teeth due to bruxism does not constitute treatment. Bruxism is a force of nature, albeit your nature. The best we can do is to be vigilant, stop yourself when you can in the day time and wear a nightguard or splint in your sleep. The severity of bruxism in your sleep can be up to 40 times what you can do purposely while you are awake.
Bruxism

Bruxism is term that refers to the grinding, clenching or gnashing your teeth, often during sleep. I believe that everyone bruxes but to different degrees, some have slight wear other can have very severe. I believe that bruxism is a hereditary personality trait. While some people may be aware that they grind their teeth, many are not, as it can happen subconsciously.
So why do people grind their teeth? There are several factors that contribute to bruxism, including stress, anxiety, sleep disorders, and misaligned teeth or jaws. If left unaddressed, bruxism can lead to a range of dental problems such as tooth sensitivity, receding gums, and even tooth loss. I deliberately use the term unaddressed and not untreated as there is no treatment for it. We prevent the progress of the problem by being aware of it, wearing a nightguard and dental restoration when appropriate.
For many bruxism is asymptomatic because it occurs gradually. The physical damage to the dentition evident by tooth damage wear and attrition and if left for too long will result in chronic issues.
We all brux. Its a matter of degrees and the onset can be very early in life. Bruxism is often reported by parent toddlers with teeth. The severity of the damage to the teeth varies through life. It is generally accepted that its severity is proportional to the stress that you have.
In special cases it can be associated with recurrent headaches which can be in the form of migraines
Signs and Symptoms
Early or Acute
- Teeth Sensitivity to cold, hot and sweet – It can manifest with one or more of these sensitivity
- Typically arises suddenly and will often then subsides over a few weeks. Usually commensal with a stressing factor.
- Localized to the neck of the tooth/teeth near the gumline. In the early stages these are not visible but eventually you will feel a ledging in these area as the problem become chronic.
- Sore jaws muscle and teeth tender or sore when eating – usually noticed in the morning
- Recurrent headaches. Often just a dull background headaches but can manifest in the form of migraines.
Late or Chronic







Abfraction lesions – Posterior Teeth

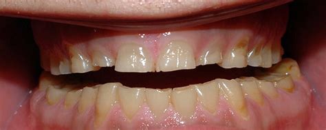
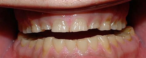
- Severe wearing down of the front teeth. A flat incisal plane from canine to canine. The front teeth are so worn that the canines and central incisal are worn level with the lateral incisors.
- ABFRACTION lesions arises from clenching and is more common in the back (posterior) teeth and the canines but they can occur in the front (anterior) teeth as well.
- TMD – Temporo Mandibular Dysfunction. This pandora’s box can include oh so many things !!!!. It’s a hypochondriac’s dream come true and a dentist’s nightmare. So please take the following diagram with a pinch of salt. It is quite a comprehensive list but not everyone has every issue listed and some are rare.


Leave a comment